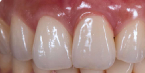
5 Benefits Of Zirconia Dental Crowns
Apr. 10, 2024
For many dentists and dental labs, zirconia is the material of choice for dental crowns.
How To Choose The Right Dental Material For You
Mar. 22, 2024
What is the Best Material to Use for My Dental Crown?
Mar. 19, 2024
Zirconium Fixed Implant Bridge
Mar. 15, 2024
Dental CAD/CAM – All You Need to Know
Feb. 28, 2024
Feb. 27, 2024